Chỉ vài tuần sau khi tự ngưng thuốc huyết áp, nguy cơ đột quỵ với người bệnh tăng gấp 3 lần, nguy cơ nhồi máu cơ tim tăng gấp đôi.
Bác sĩ chuyên khoa II Dương Minh Tuấn, Khoa Nội tiết - Đái tháo đường, Bệnh viện Bạch Mai cho biết, tăng huyết áp hiện là bệnh mạn tính phổ biến nhất thế giới, ảnh hưởng đến hơn 1,3 tỷ người theo thống kê của Tổ chức Y tế thế giới (WHO, 2023).
Tại Việt Nam, tỷ lệ người trưởng thành mắc tăng huyết áp đã vượt 26%, và gần một nửa trong số đó không biết mình đang mang bệnh. Điều đáng sợ là phần lớn bệnh nhân không hề cảm thấy bất thường nào, nhưng trong âm thầm, tim, não, thận và mắt vẫn bị tổn thương từng ngày. Chính vì vậy, tăng huyết áp còn được gọi là “kẻ giết người thầm lặng”.
Nhiều người, khi thấy huyết áp trở về bình thường, lại vội mừng mà ngưng thuốc, hoặc uống cách nhật vì sợ “hại gan, hại thận”. Nhưng sự thật là, huyết áp ổn định chính là nhờ thuốc đang phát huy tác dụng. Khi bạn ngừng thuốc, hiệu quả bảo vệ mất đi, huyết áp có thể bật tăng trở lại - hiện tượng đó được gọi là rebound hypertension, đã được chứng minh trong nhiều nghiên cứu lâm sàng.
Theo bác sĩ Tuấn, việc ngừng thuốc sẽ khiến người bệnh đối mặt với nhiều hậu quả. Nghiên cứu tổng hợp trên hàng chục nghìn bệnh nhân cho thấy, chỉ vài tuần sau khi tự ngưng thuốc, nguy cơ đột quỵ tăng gấp 3 lần, nguy cơ nhồi máu cơ tim tăng gấp đôi (Turnbull et al., Lancet 2020).
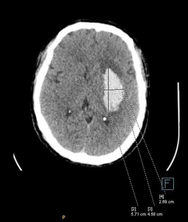
![]() |
| Ổ tổn thương não do đột quỵ. |
Khi huyết áp tăng vọt, mạch máu não có thể vỡ, gây liệt nửa người hoặc tử vong. Áp lực cao kéo dài cũng làm tổn thương lớp nội mạc mạch máu, khiến mảng xơ vữa bong ra, gây tắc nghẽn động mạch vành, hậu quả là cơn nhồi máu cơ tim cấp. Trái tim phải làm việc quá sức, phì đại dần và cuối cùng suy yếu: theo Framingham Heart Study, tăng huyết áp chiếm tới 75% nguyên nhân suy tim ở người cao tuổi.
Không dừng lại ở đó, thận cũng bị ảnh hưởng, chức năng lọc cầu thận suy giảm trung bình 5-10% mỗi năm ở những bệnh nhân không kiểm soát huyết áp tốt (KDIGO 2021).
Đôi mắt có thể bị tổn thương bởi xuất huyết võng mạc, dẫn đến giảm thị lực, thậm chí mù lòa.
Điều trị tăng huyết áp là hành trình lâu dài, nhưng hoàn toàn có thể sống khỏe nếu kiên trì. Việc điều trị không chỉ đơn thuần là uống thuốc, mà là một chiến lược tổng thể như: Dùng thuốc đều đặn đúng chỉ định của bác sĩ (như ACEi, ARB, CCB, lợi tiểu…); duy trì lối sống lành mạnh với chế độ ăn nhạt, bỏ thuốc lá, hạn chế rượu bia, tăng vận động thể lực, kiểm soát cân nặng. Và đặc biệt mọi người cần tái khám định kỳ để bác sĩ điều chỉnh liều, theo dõi phát hiện sớm biến chứng.
Theo khuyến cáo của Hội Tim mạch châu Âu ESC/ESH 2024, phần lớn bệnh nhân tăng huyết áp cần điều trị suốt đời, và chỉ trong một số ít trường hợp đặc biệt, bác sĩ mới cân nhắc giảm liều hoặc ngưng thuốc nhưng phải có sự giám sát chặt chẽ.
Huyết áp trở về bình thường không có nghĩa là bạn đã khỏi bệnh, mà chỉ cho thấy thuốc đang bảo vệ bạn. Một viên thuốc nhỏ mỗi sáng có thể giúp bạn tránh được cơn đột quỵ, nhồi máu cơ tim hay suy tim - những biến cố đôi khi không cho bạn cơ hội thứ hai.
Theo nhandan.vn






Thông tin bạn đọc
Đóng Lưu thông tin